
MC KEYSTONE INT.OFFRE LE STANDARD DE SOIN PRIVÉ EUROPÉEN À L'ÉTRANGER AU MEILLEUR PRIX.
Besoins de précisions? info(at) mckeystoneint.com.
QUELS SONT LES DIFFÉRENTS TYPES DE MALADIES DENTAIRES À TRAITER ?
AVEZ-VOUS BESOIN D'UN DEVIS?
Pour les traitements des soins de beauté, de la chirurgie esthétique, de la chirurgie bariatrique (obésité), la FIV, les addictions, le P-SHOT et la dentisterie, nous recommandons toujours d’avoir au préalable un entretien téléphonique avec l’un de nos agents.
L’entretien sera très personnalisé, confidentiel et privé et cela avant toutes démarches supplémentaires.
Si nous allons de l’avant, dans ce cas, nous vous mettrons en contact avec des personnes de confiance.
Ces personnes et ces cliniques, nous les connaissons personnellement car ils ont été évalués par nos soins et recommandés par nos clients !
Si vous le souhaitez, vous pouvez prendre contact via émail ici :
- info(Arobase)mckeystoneint.com
Ou via le formulaire de contact
Nous nous ferons un plaisir de vous aider dans votre quête du standard de soin privé de qualité Européen à l’étranger au meilleur prix !
QUELS SONT LES DIFFÉRENTS TYPES DE MALADIES DENTAIRES QUE L'ON PEUT TRAITER ?
Différents types de maladies des dents peuvent avoir des répercussions sur la santé générale si aucun traitement n’est mis en place. Ces problèmes dentaires peuvent survenir à n’importe quel âge. Des caries aux aphtes en passant par le déchaussement des dents, ces maladies peuvent être d’origine bactérienne ou traumatique.
Quels sont les symptômes des maladies dentaires les plus fréquentes ? Comment prévenir ces pathologies bucco-dentaires ? Quelle prise en charge est prévue pour soigner ces maladies ? Découvrez les principaux types de maladies des dents dans notre dossier complet.
Les maladies parodontales
Les maladies parodontales sont la principale cause de la perte des dents chez les adultes. Elles concernent une personnes sur deux. Pour prévenir l'apparition de ces maladies, il est essentiel d'avoir une bonne hygiène bucco dentaire.

Les maladies parodontales : c’est quoi?
Par définition, les maladies parodontales sont des maladies infectieuses, c’est-à-dire qu’elles sont causées par la présence de bactéries. Ces dernières stagnent sur la plaque dentaire et viennent engendrer une réaction inflammatoire.
Ces maladies ont pour finalité l’attaque et parfois la destruction des tissus qui soutiennent les dents, comme les gencives ou les os. Cela peut aussi bien concerner quelques dents, que la totalité de la dentition, et la situation a tendance à se dégrader lentement au fil du temps.

Quels sont les différents types de maladie parodontales ?
Il existe plusieurs types de maladies parodontales qui peuvent elles-mêmes se décliner et se manifester sous plusieurs formes : la gingivite chronique, la gingivite hypertrophique, la gingivite ulcéro-nécrosante aiguë, la parodontite chronique, la parodontite agressive.
La gingivite chronique : la gingivite est la maladie parodontale la plus courante et la moins grave . Il s’agit d’une inflammation localisée ou généralisée de la gencive qui agit sur le parodonte, un ensemble de tissus qui entoure les dents. Les personnes les plus susceptibles de contracter ce type de maladies sont les femmes enceintes ou qui prennent la pilule contraceptive, les personnes atteintes de diabète ou encore celles qui consomment certains types de médicaments.
Gengivite Hypertrophique

La gingivite hypertrophique : elle est différenciable des autres car elle conduit à un gonflement important de la gencive. Elle est très souvent le résultat de la prise de certains médicaments.
La gingivite ulcéro-nécrosante aiguë : dans cette forme, la maladie va causer la mort des tissus gingivaux, engendrant ainsi une affectation de l’os alvéolaire et du ligament parodontal. Cette forme de la pathologie e retrouve plus fréquemment chez les personnes atteintes de malnutrition, d’anxiété, du VIH, ou chez les personnes immunodéprimées, et a tendance à s’aggraver plus rapidement que les autres formes. s
La parodontite chronique

Cette maladie chronique est caractérisée par l’inflammation des gencives pouvant aller jusqu’à la rétractation des gencives et la destruction du tissu osseux.
La parodontite agressive

La parodontite agressive: Cette maladie évolue plus rapidement que la parodontite chronique mais se caractérise par le même processus : la destruction des tissus osseux, et la perte de l’attache gingivale. Elle est très souvent dûe à des antécédents familiaux, mais concerne également plus facilement les fumeurs.
Les maladies parodontales associées aux maladies systémiques : une maladie parodontale peut également être le symptôme d’une autre maladie. On constate sa présence notamment dans les symptômes des maladies cardiaques et respiratoires, et du diabète, même dans les cas où il y a peu de plaque dentaire.
Quels sont les symptômes des maladies parodontales ?
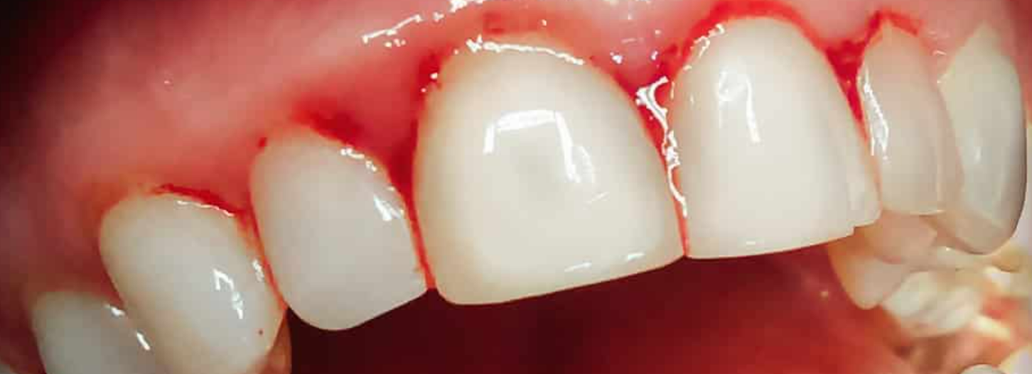
En temps normal, des gencives saines sont fermes et de couleur rose pâle.Voici quelques exemples de symptômes qui peuvent être révélateurs de l’apparition de maladies parodontales :
- des saignements lors du brossage ou lors des repas,
- des inflammations, rougeurs et gonflements des gencives,
- des douleurs, des sensibilités et des dents qui bougent,
- une mauvaise haleine qui persiste,
- un déchaussement des dents et rétraction des gencives

En cas de maladies parodontales, l’intervention d’un dentiste est indispensable. Cependant, il est possible de calmer les douleurs de différentes manières, en attendant l’intervention d’un professionnel. Certaines personnes ont recours à la médecine naturelle, à base de plantes aux propriétés apaisantes et antiseptiques. Les huiles essentielles de camomille et de giroflier ainsi que les gels gingivaux à la sauge sont particulièrement efficaces. Vous pouvez également vous tourner vers l’homéopathie à base de Calendula.
Évidemment, ces solutions naturelles ne sont pas dissociables d’une bonne hygiène buccale. En vous rendant en pharmacie, vous pourrez vous procurer des bains de bouche antiseptiques, du fil dentaire et des sprays anti-bactériens. Également, il existe des dentifrices spécifiques dont les composants sont adaptés aux gencives sensibles.
Certains d’entre eux, permettent même de colorer la plaque dentaire afin de mesurer objectivement la qualité du brossage des dents : ce sont des dentifrices révélateurs de plaques. Cependant, il faut faire attention à ne pas abuser de tous ces produits car ils ont tendance à déséquilibrer la flore bactérienne buccale.
Maladie parodontale Les causes et les facteurs qui influence son évolution.
La cause principale des maladies parodontales est l’accumulation de bactéries, de résidus d’aliments, de sucre, d’acides et de salive entre la gencive et la dent. Cette accumulation forme une pellicule collante et incolore que l’on appelle la plaque dentaire. Les bactéries qu’elle contient viennent directement attaquer les gencives, ce qui les fragilise et les rend plus sensibles. Si cette plaque dentaire n’est pas éliminée lors des brossages de dents journaliers, elle se met à durcir et finit par se transformer en tartre, principal responsable des inflammations.
C’est pourquoi une bonne hygiène bucco-dentaire est très importante. Cependant, même en respectant cela, vous n’êtes pas à l’abri de cette pathologie car certains facteurs vous y exposent :
- le tabagisme,
- l’hérédité,
- une diminution des défenses de l’organisme liée à la fatigue et au stress,
- un déséquilibre hormonal,
- certains médicaments,
- une prothèse dentaire mal posée
- etc.
Si vous souffrez d’au moins d’un de ces symptômes, nous vous recommandons vivement de consulter votre dentiste.
La carie dentaire
C’est la pathologie dentaire la plus fréquente parmi les différents types de maladies des dents. Elle se manifeste par la formation d’une cavité dans la dent. En effet, la carie dentaire entraîne une destruction progressive de l’émail et de la dentine.
Cette dégradation est causée par la présence de bactéries. Les caries dentaires peuvent se développer sans symptômes. Il est donc recommandé de consulter régulièrement son dentiste pour éviter de devoir les traiter à un stade très avancé.
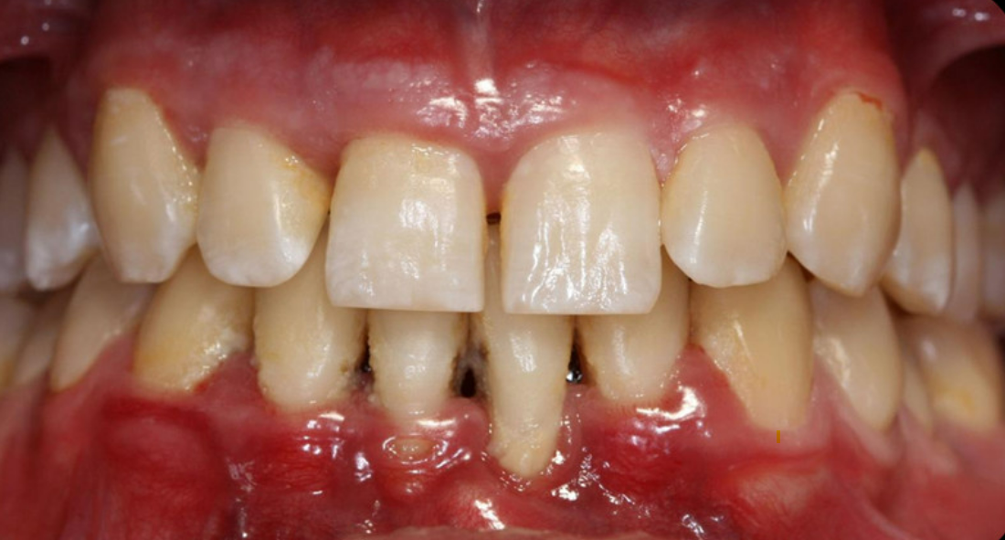
Le déchaussement des dents
Le déchaussement des dents correspond à une rétractation des gencives par rapport aux dents qui conduit à exposer les racines sous-jacentes. Différents facteurs peuvent favoriser cette maladie des dents : vieillissement, mauvaise hygiène bucco-dentaire, brossage trop vigoureux. Pour traiter le problème, le dentiste peut effectuer :
- une radio panoramique ;
- un détartrage complet ;
- un surfaçage pour éliminer les bactéries et la plaque dentaire situées au niveau de la racine des dents.
La gingivite

La gingivite est une infection dentaire très courante. Certains signes avant-coureurs doivent vous alerter : un gonflement, une rougeur ou un saignement au niveau de la gencive. Il faut alors consulter rapidement votre dentiste pour éviter que la gingivite n’entraîne des problèmes parodontaux.
MIH ou Hypominéralisation molaire incisive

Une MIH est une anomalie dentaire qui peut toucher les molaires ou les incisives permanentes de l’enfant. Les dents atteintes présentent des taches qui peuvent varier en taille et en couleur. Elles se carient plus rapidement, sont plus fragiles et plus sensibles au brossage, à la mastication, au froid et au chaud. L’application de vernis fluorés et le scellement des sillons font partie des soins curatifs les plus courants pour traiter cette maladie des dents.
La rage de dents ou pulpite dentaire

Souvent appelée « rage de dents », la pulpite dentaire est une inflammation aigüe des vaisseaux et des nerfs de la dent appelés pulpe. Cette maladie peut avoir différentes causes :
- La pulpite septique : elle survient à la suite d’une carie dentaire.
- La pulpite aseptique : elle est causée par un traumatisme.
La pulpite dentaire se manifeste par différents symptômes. Le patient ressent une douleur intense et brutale au niveau de la dent. Celle-ci est accentuée chaque fois que la dent est en contact avec des aliments froids ou chauds. La douleur peut s’étendre jusqu’à la pommette ou à l’oreille. Le dentiste pratique une dévitalisation de la dent pour soigner cette maladie dentaire.
L’abcès dentaire

L’abcès dentaire est une infection bactérienne. Elle peut avoir pour origine une carie profonde ou une fracture dentaire. Parmi les symptômes courants de cette maladie des dents, on peut citer les suivants :
- gencive rouge et gonflée ;
- sensation de chaleur ;
- saignements ;
- formation de pus ;
- problèmes de mastication ;
- fatigue et fièvre.
Pour éviter des complications, l’abcès dentaire doit être pris en charge rapidement par un dentiste. Ce dernier procède au nettoyage des canaux dentaires et décide soit de restaurer la dent soit de l’extraire.
Le bruxisme ou le grincement des dents

Le bruxisme désigne des grincements de dents involontaires chez l’adulte ou chez l’enfant. Cette maladie dentaire est due à un mauvais alignement des mâchoires. Le stress, l’anxiété ou les problèmes de cycles du sommeil peuvent également en être la cause. Des gouttières de libération occlusale peuvent être prescrites par votre dentiste pour réduire les dommages aux dents causés par le bruxisme.
L’halitose
L’halitose correspond à la mauvaise haleine. Différentes causes peuvent être à l’origine de cette maladie : une mauvaise hygiène de la bouche et des dents, des caries non traitées, une sécheresse de la bouche, etc. Il convient de prendre un rendez-vous chez le dentiste pour faire le point sur votre situation et déterminer la cause réelle de votre mauvaise haleine.
La malocclusion dentaire

La malocclusion dentaire désigne un mauvais alignement de la dentition qui perturbe la fonction musculaire des mâchoires. Le recours à l’orthodontie est nécessaire pour traiter ce type de maladie des dents.
L’aphte de la bouche

L’aphte buccal est un petit ulcère superficiel qui se forme sur les muqueuses à l’intérieur de la bouche. Certains facteurs favorisent son apparition : stress, fatigue, certains aliments ou médicaments, etc. Outre la prescription d’antalgiques ou de bains de bouche, des soins dentaires peuvent être réalisés pour éviter les traumatismes de la muqueuse de la bouche.
Il est recommandé de consulter régulièrement votre dentiste pour éviter de développer ces différents types de maladies des dents. Vous pouvez bénéficier d’une bonne prise en charge de vos soins dentaires en souscrivant un contrat de mutuelle adapté à votre situation. Pensez à comparer les offres des complémentaires santé pour trouver la formule qui vous convient !
demandez Votre devis gratuit et personnalisé
IMPORTANT ! C’est l’équipe médicale des cliniques partenaires qui fera les gestes médicaux adaptés aux situations de chaque patient ! Vous êtes le seul avec les médecins à décider des soins souhaités.
Nos collaborateurs sont à votre disposition via whatsapp. Nous vous rappellerons pour cela veuillez remplir le formulaire de contact.