
MC KEYSTONE INT.OFFRE LE STANDARD DE SOIN PRIVÉ EUROPÉEN À L'ÉTRANGER AU MEILLEUR PRIX.
Besoins de précisions? info(at) mckeystoneint.com
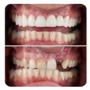
LES IMPLANTS DENTAIRES
Avant et après:



AVEZ-VOUS BESOIN D'UN DEVIS?
Pour les traitements des soins de beauté, de la chirurgie esthétique, de la chirurgie bariatrique (obésité), la FIV, les addictions, le P-SHOT et la dentisterie, nous recommandons toujours d’avoir au préalable un entretien téléphonique avec l’un de nos agents.
L’entretien sera très personnalisé, confidentiel et privé et cela avant toutes démarches supplémentaires.
Si nous allons de l’avant, dans ce cas, nous vous mettrons en contact avec des personnes de confiance.
Ces personnes et ces cliniques, nous les connaissons personnellement car ils ont été évalués par nos soins et recommandés par nos clients !
Si vous le souhaitez, vous pouvez prendre contact via émail ici :
- info(Arobase)mckeystoneint.com
Ou via le formulaire de contact
Nous nous ferons un plaisir de vous aider dans votre quête du standard de soin privé de qualité Européen à l’étranger au meilleur prix !

Un implant dentaire complet se compose habituellement de 3 parties. L’implant, le pilier et la couronne.
1. L’implant dentaire en titane ou en Zircon : il s’agit d’un matériaux inerte et biocompatible sur lequel l’os va se reconstruire. Il est posé par un stomatologue ou un chirurgien. Il remplace la racine d’une dent et sert d’ancrage dans la mâchoire.
2. Le pilier implantaire est une pièce en titane permettant de fixer la prothèse sur l’implant.
3. La couronne dentaire est la partie visible de la nouvelle dent. Elle sert à manger , à parler et qui joue aussi un rôle esthétique.
MAINTENANT NOUS ALLONS PARLER DE LA PARTIE " VIS "UN IMPLANT IL S’AGIT D’UN MATÉRIAU INERTE ET BIOCOMPATIBLE SUR LEQUEL L’OS VA SE RECONSTRUIRE. COMMUNÉMENT APPELÉ IMPLANT DENTAIRE.
LES IMPLANTS DENTAIRES
Qu'est-ce qu'un implant dentaire ? Un implant est une vis en Titane ou en Zircon, ayant la forme d'une racine dentaire.
Que l'on place dans la mâchoire pour remplacer une ou plusieurs dents manquantes ou comme support d'une prothèse dentaire
LES DIFFÉRENTES SORTES D'IMPLANTS
La plupart des implants dentaires utilisés ont la forme de « vis » cylindriques et/ou cylindro-coniques.
Leur diamètre est compris entre 2,5 et 6 mm et leur longueur est variable. Une instrumentation bien calibrée facilite la pose de ces implants.

LES IMPLANTS DENTAIRES TRIDIMENSIONNEL EN FORME DE « T »

L'implant en forme de lame (T) est un implant dentaire très fin, ce qui facilite son insertion dans une crête peu épaisse.
La pose est compliquée et nécessite un appareil spécial. Ce type d'implant est de moins en moins utilisé.
L'implant dentaire tridimensionnel en forme de « T » et est inséré par le côté, dans l'axe de la mâchoire.
Cet implant est plus difficile à poser, mais donne de bons résultats. Il est recommandé pour les mâchoires à faible volume osseux.
L'implant dentaire juxta osseux est très rarement utilisé.
Il s'agit d'une sorte de grille qui couvre l'os. Quand le volume osseux est trop restreint, il sert d'appui complémentaire.
Un implant dentaire sous périosté est recommandé lorsque le patient est totalement ou partiellement édenté.
La pose de cet implant nécessite, cependant, une chirurgie lourde qui présente des risques.
L'IMPLANT EN ZIRCONE



L’implant en Zicorne a l'avantage d'être blanc et donc de ressembler à la couleur d'une vraie dent.
Le zircone évite de voir apparaître un liseré gris en cas de retrait de la gencive.

Il est généralement utilisé pour les dents de devant, afin d'assurer une esthétique parfaite.
Il s'intègre parfaitement dans la mâchoire et la gencive, cependant de par sa fragilité, il est difficile à poser et son prix reste élevé.
L'IMPLANT EN TITANE


L’implant dentaire en titane est généralement considéré comme la meilleure solution pour remplacer une ou plusieurs dents manquantes. Il est particulièrement adapté aux patients qui ont des os maxillaires solides et bien développés, carils offrent une intégration optimale et une résistance maximale.
Il existe différents types d’implants dentaires en titane : les implants monoblocs (avec une seule pièce), les implants multi-pièces (avec plusieurs pièces) et les implants pilier (avec un pilier central). Chaque type a ses propres avantages etinconvénients, et doit être choisi en fonction des besoins spécifiques du patient.
TOP 5 DES MARQUES D'IMPLANT : HAUT DE GAMME
Découvrez les marques régulièrement citées par les professionnels de la dentisterie.
En raison de leur engagement envers la qualité, de leurs technologies avancées, de leurs résultats cliniques positifs.
Et de leur réputation positive au sein de la communauté dentaire.
N. 1. Nobel Biocare (Entreprise Suisse / Origine : Suède / Création : 1981) :
Nobel Biocare est la référence mondiale en implantologie dentaire.
Renommée pour son engagement envers l'innovation.
La marque offre des implants dentaires de qualité supérieure, alliant précision et fiabilité.
N. 2 Straumann (Origine : Suisse / Création : 1954) : Straumann est synonyme de précision, d'excellence et de longévité.
Elle est largement reconnue comme l'une des meilleures dans l'industrie.
Des implants dentaires de par ses solutions dentaires de qualité supérieure.

N. 3 Zimmer Biomet (Origine : États-Unis / Création : 2015).
Zimmer a été fondée en 1927, Biomet en 1977.
Les deux entreprises ont fusionné en 2015 pour former Zimmer Biomet.
Cette marque est saluée au niveau mondial pour ses produits innovants.

N. 4 Anthogyr (Origine : France / Création : 1947).
Anthogyr s'est forgée une réputation solide dans le domaine des implants dentaires et des instruments chirurgicaux.
Renommée pour ses solutions innovantes et de haute qualité.
La marque incarne l'excellence française en implantologie dentaire.

N. 5 Dentsply Sirona (Origine : États-Unis / Création :
2016).Dentsply Sirona est née de la fusion de deux sociétés majeures, DENTSPLY International Inc. (États-Unis) et Sirona Dental Systems GmbH (Allemagne) en 2016.
Elle se distingue par sa gamme complète de produits et de technologies dentaires.

IMPORTANT ! C’est l’équipe médicale des cliniques partenaires qui fera les gestes médicaux adaptés aux situations de chaque patient ! Vous êtes le seul avec les médecins à décider des soins souhaités.
Nos collaborateurs sont à votre disposition via whatsapp. Nous vous rappellerons pour cela veuillez remplir le formulaire de contact.